Detail Information of SG001532


General information  

SG001532
Ybx3
Csda, Dpba, MSY3, MSY4, Yb2, dbpA, oxyR
Mus musculus
10090
ENSMUSG00000030189
ENSMUSP00000032309  ENSMUSP00000085172  

Y box protein 3 [Mus musculus (house mouse)]

SpeciesUniprotGene stable IDGene Name
Rattus norvegicusQ62764RGD:621056Ybx3
Gallus gallusE1C9B8Ensembl:ENSGALG00000018512-
Caenorhabditis elegansP91398WormBase:WBGene00000474cey-3
  More Orthology >>

Reviewed functional gene

Functional information  

meiotic    postmeiotic    
Elongated spermatid    Spermatocyte    

1. Abstract
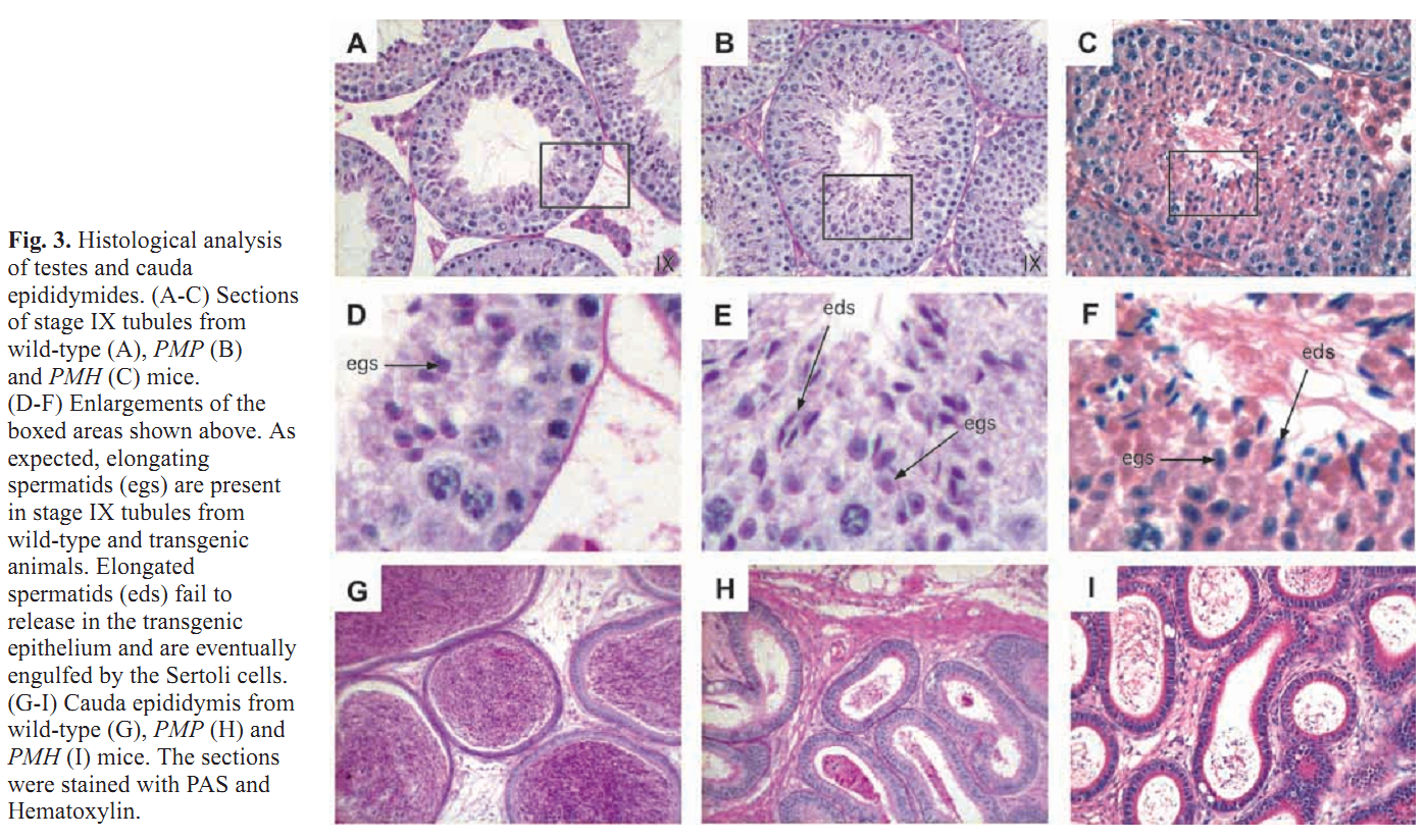
In developing male germ cells, newly synthesized protamine mRNAs are stored for up to 7 days before translational activation. Translational repression of protamine 1 (Prm1) mRNA requires sequences present in its 3' ... PMID: [12117816]  

2. Abstract
Y-box binding proteins, a large family of proteins, are involved in a variety of functions. The present study describes the expression of YB2, a rat Y-box binding protein, and/or RYB-a, an alternatively ... PMID: [11675468]  

F. Giorgini, H. G. Davies and R. E. Braun (2002) Translational repression by MSY4 inhibits spermatid differentiation in mice. Development 129(15): 3669-79. PMID: [12117816]

F. Giorgini, H. G. Davies and R. E. Braun (2002) Translational repression by MSY4 inhibits spermatid differentiation in mice. Development 129(15): 3669-79. PMID: [12117816]

F. Giorgini, H. G. Davies and R. E. Braun (2002) Translational repression by MSY4 inhibits spermatid differentiation in mice. Development 129(15): 3669-79. PMID: [12117816]

F. Giorgini, H. G. Davies and R. E. Braun (2002) Translational repression by MSY4 inhibits spermatid differentiation in mice. Development 129(15): 3669-79. PMID: [12117816]

F. Giorgini, H. G. Davies and R. E. Braun (2002) Translational repression by MSY4 inhibits spermatid differentiation in mice. Development 129(15): 3669-79. PMID: [12117816]

-
 
N/A

Expression and location  

Expressed highest in testis
Expressed highest in spermatocyte
View detail
View detail
Cytoplasm

Mutation in human orthology  

1000G (Phase 3): 713   ESP6500 (SI-V2): 105   ExAC (r0.3.1): 494   dbSNP(Build 147): 1800

Chinese health control (254): 12  European health control (283): 4   Chinese patients (168):  

Gene NameDNMR-averageDNMR-SC
YBX30.000022170

Other information  

Click the right sign for more information

Sub-OntologiesAccessionTermEvidence
Biological ProcessGO:0000122negative regulation of transcription from RNA polymerase II promoterIDA
Biological ProcessGO:0001701in utero embryonic developmentIGI
Biological ProcessGO:0006351transcription, DNA-templatedIEA
Biological ProcessGO:0006355regulation of transcription, DNA-templatedIEA
Biological ProcessGO:0007283spermatogenesisIMP
Biological ProcessGO:0008584male gonad developmentIMP
Biological ProcessGO:0009566fertilizationIMP
Biological ProcessGO:0043066negative regulation of apoptotic processIMP
Biological ProcessGO:0046622positive regulation of organ growthIMP
Biological ProcessGO:0048642negative regulation of skeletal muscle tissue developmentIDA
Biological ProcessGO:0060546negative regulation of necroptotic processISO
Biological ProcessGO:0071356cellular response to tumor necrosis factorISO
Biological ProcessGO:0071474cellular hyperosmotic responseISO
Biological ProcessGO:1902219negative regulation of intrinsic apoptotic signaling pathway in response to osmotic stressISO
Cellular ComponentGO:0005634nucleusIEA
Cellular ComponentGO:0005737cytoplasmIEA
Cellular ComponentGO:0005829cytosolISO
Cellular ComponentGO:0005844polysomeIDA
Cellular ComponentGO:0005921gap junctionISO
Cellular ComponentGO:0030529intracellular ribonucleoprotein complexIDA
Molecular FunctionGO:0000977RNA polymerase II regulatory region sequence-specific DNA bindingIDA
Molecular FunctionGO:0001227transcriptional repressor activity, RNA polymerase II transcription regulatory region sequence-specific bindingIDA
Molecular FunctionGO:0003676nucleic acid bindingIEA
Molecular FunctionGO:0003677DNA bindingIEA
Molecular FunctionGO:0003697single-stranded DNA bindingIDA
Molecular FunctionGO:0003723RNA bindingIEA
Molecular FunctionGO:0003730mRNA 3'-UTR bindingIDA
Molecular FunctionGO:0005515protein bindingIPI
Protein AGene name AProtein BGene name BEvidence
ENSMUSP00000032309Ybx3ENSMUSP00000032343Erp27experimental
ENSMUSP00000032309Ybx3ENSMUSP00000032373predicted
ENSMUSP00000032309Ybx3ENSMUSP00000032399Krasexperimental
  More PPIs >>
Q9JKB3