Detail Information of SG028306


General information  

SG028306
Cry1
AU020726, AU021000, Phll1
Mus musculus
10090
ENSMUSG00000020038
ENSMUSP00000150910  

cryptochrome 1 (photolyase-like) [Mus musculus (house mouse)]

SpeciesUniprotGene stable IDGene Name
Rattus norvegicusQ32Q86RGD:735083Cry1
Gallus gallusQ8QG61Gene:CRY1CRY1
Danio rerioF1QU08ZFIN:ZDB-GENE-010426-5cry1bb
  More Orthology >>

Reviewed functional gene

Functional information  

meiotic    postmeiotic    premeiotic    
Sertoli cell    Spermatid    Spermatocyte    

PMID: [29411926]

PMID: [29411926]

PMID: [29411926]

PMID: [29411926]

PMID: [29411926]

PMID: [29411926]

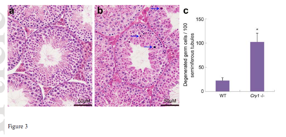
Cryptochrome (Cry)1 is essential for generating circadian rhythm in central and many peripheral oscillators. Cry1 is necessary for normal testicular function and its deficiency increased testicular germ cell apoptosis and decreased sperm count. Dysregulation of Cry1 and male reproductive defects in mice, indicating that Cry1 plays a critical role in maintaining normal testicular function.
 
ReactomeID: R-MMU-508751
Circadian Clock

Expression and location  

Expressed highest in testis
Expressed highest in spermatocyte
View detail
View detail
Cytoplasm. Nucleus

Mutation in human orthology  

1000G (Phase 3): 2771   ESP6500 (SI-V2): 86   ExAC (r0.3.1): 529   dbSNP(Build 147): 5921

Chinese health control (254): 6  European health control (283): 5   Chinese patients (168):  

Gene NameDNMR-averageDNMR-SC
CRY10.0000235250.0000246411

Other information  

 
 
P97784